
Caso clínico: endoscopia de columna multinivel L4L5 y L5S1
Los síntomas que presentaba el paciente eran dolores acentuados en las piernas, claudicación a la marcha y calambres y hormigueos en las piernas.
Casos clínicos
Casos de éxito
Los casos clínicos de cirugía de columna son retos que nos apasiona asumir. Cada día acuden a nuestras consultas pacientes desesperados con lesiones y patologías de difícil tratamiento. La misión principal de ICAC es encontrar la mejor solución para cada uno de ellos, gracias a la tecnología más avanzada y a los traumatólogos especialistas más experimentados. Este es uno de los motivos que da sentido a este proyecto y por el que estamos tan orgullosos.
Descubre algunos casos clínicos realizados hasta el momento y todos sus detalles.

Los síntomas que presentaba el paciente eran dolores acentuados en las piernas, claudicación a la marcha y calambres y hormigueos en las piernas.

Durante la intervención quirúrgica, se abordarán los dos niveles mediante la técnica de endoscopia de columna.

Durante la intervención quirúrgica, se abordarán los dos niveles mediante la técnica de endoscopia de columna.

Los traumatólogos especialistas del Instituto de Cirugía Avanzada de Columna realizan una operación de estenosis de canal.

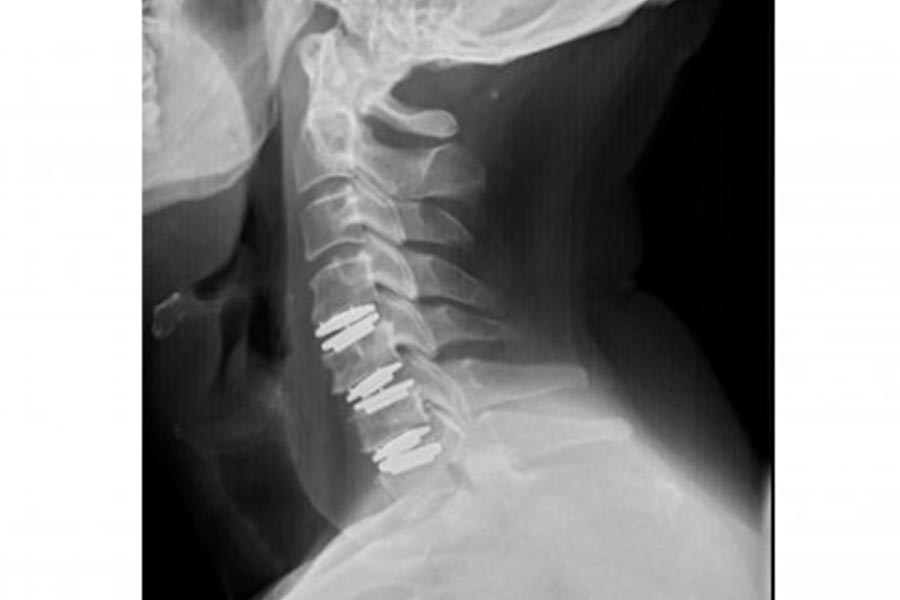
En este caso clínico, los especialistas del Instituto de Cirugía Avanzada de Columna intervienen a una paciente joven mediante artrodesis cervical.

Mediante una incisión mínima en la piel de 2-3 milímetros, el equipo de ICAC tratará a una paciente joven que sufre una una hernia discal en L4L5 y L5S1.

Mediante una incisión mínima en la piel de 2-3 milímetros, el equipo de ICAC tratará a un paciente que sufre una una hernia discal en L3L4.

Mediante una incisión mínima en la piel, el equipo de ICAC tratará a un paciente que sufre una fibrosis compresiva y una hernia discal en L3L4.

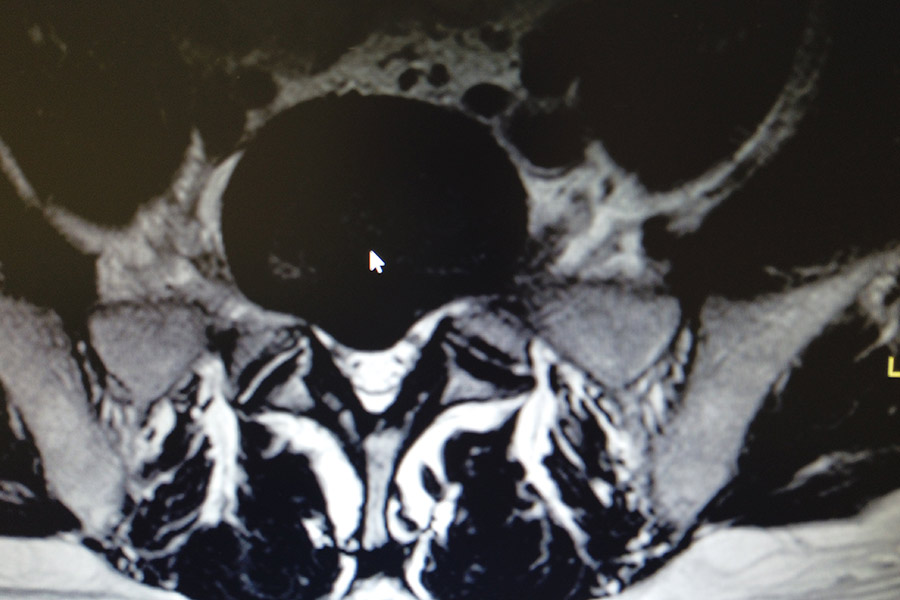
En este caso clínico, el paciente sufre una hernia discal izquierda al nivel L5S1. El equipo de ICAC la tratará mediante endoscopia de columna mínimamente invasiva.

Tras una operación anterior, el paciente acude a la consulta de Elgeadi Traumatología con ciática, que le provoca dolor continuo e incapacitante.

Tras una operación de columna, la paciente presenta una masa blanquecina que se decide retirar mediante técnica avanzada de endoscopia de columna

Tras hallar una hernia discal con estrechamiento del foramen se decide abordar la lesión con una técnica mínimamente invasiva de Artroplastia.

En este caso, la paciente ya ha sido intervenida de disco cervical, sin haber realizado una liberación posterior. Se realiza un recambio de disco.

La paciente manifiesta dolor en la zona lumbar. Tras varios tratamientos conservadores, se somete a una intervención para tratar la estenosis de canal.

El paciente presenta una patología en el disco, con una hernia de gran tamaño. Esto comprime las raíces neurológicas, generando listesis.

La paciente acude con una hernia discal central, que produce estenosis de canal y síntomas compresivos que se extienden a lo largo de las piernas.

La paciente acude con una hernia discal central, que produce estenosis de canal y síntomas compresivos que se extienden a lo largo de las piernas.

En este caso se trata de un problema de cicatrización. El disco se abomba lo que genera irritación y una fibrosis alrededor de la raíz.

El paciente acude a consulta con una fuerte ciática y dolor irradiado hacia las piernas. Se diagnostica una hernia discal mononivel L5S1 con calcificación.

El paciente acude a consulta con una fuerte ciática y dolor irradiado hacia las piernas. Se diagnostica una hernia discal mononivel L5S1 con calcificación.

El paciente acude a la consulta con con molestias en la articulación inferior izquierda, que se extienden hasta el pie causados por una hernia lumbar.

El paciente acude a la consulta con fuertes dolores y problemas motrices por lo que es intervenido mediante cirugía mínimamente invasiva

El paciente acude a la consulta con fuertes dolores en las extremidades inferiores y se le diagnostica una hernia discal a la altura de la L4L5.

Es un caso de cirugía cervical de una paciente de mediana edad que fue operada hace aproximadamente 6 años.

El paciente presenta una hernia discal en el nivel L5S1 del lado derecho que provoca un dolor desde la pierna hasta la planta del pie.

La paciente presenta varias hernias discales cervicales, empeoradas por la presencia de artrosis en la zona y que provoca dolencias en el lado derecho (brazos y cuello).

La paciente presenta una hernia discal L5S1 en la zona lumbar, y al abordar la zona se observa una laminectomía previa. Se extrae mediante una técnica mínimamente invasiva.

La paciente presenta una hernia discal L5S1 en la salida de la raíz nerviosa, con una reducción en sus movimientos. Será intervenida mediante Endoscopia.

El paciente, de 40 años. acude a la consulta del dolor Elgeadi con una hernia que fue revisada un año atrás y ha empeorado. Se le extraerá mediante cirugía mínimamente invasiva.

El paciente, de 40 años. acude a la consulta del dolor Elgeadi con una hernia que fue revisada un año atrás y ha empeorado. Se le extraerá mediante cirugía mínimamente invasiva.

Caso clínico El paciente acude a la consulta con dolores en la parte derecha del cuerpo provocados por una hernia

Esta paciente de 68 años, previamente operada de su hernia discal foramidal, acude a la consulta del doctor Elgeadi con molestos dolores en las extremidades inferiores.

El paciente acude a la consulta tras sufrir fuertes dolores en la zona, provocados por una artrodesis no efectiva. Implante de prótesis cervical.

En este caso clínico nos encontramos ante una pequeña hernia en el disco L5S1, lateralizada hacia el foramen derecho, que limita la actividad del paciente.

En este caso clínico nos encontramos ante un paciente de que sufre dolor lumbar por la aparición de una hernia entre la 4º y la 5º vértebra.

En este caso clínico nos encontramos ante un paciente de 33 años que aqueja dolor persistente que se alarga hasta la planta del pie.

En este caso clínico nos encontramos ante una paciente de 67 años con dolor en la pierna izquierda que le comprime en gran medida las raíces L4, L5 y L5S1.

En este caso clínico nos encontramos ante una paciente que acude a nuestra consulta por un dolor agudo en el brazo izquierdo y un tinel muy positivo.

Nos encontramos ante un paciente con dolor crónico agudo que presenta paréntesis en MMII en el territorio de L5.

Nos encontramos ante un paciente con 48 años de edad que padece de hernia discal izquierda compresiva, que le produce dolor en gran parte de su cuerpo.

Nos encontramos ante un paciente de unos 40 años, que acude a nosotros por un dolor intenso en la pierna derecha que le avanza hasta la planta del pie.

El paciente que os presentamos hoy acudió a nosotros debido a un dolor grave en los miembros inferiores que le impedía andar y realizar otras actividades.

Nos encontramos con un paciente que sufría una impotencia funcional que le impedía realizar su vida diaria con normalidad.

Este paciente no podía realizar tus tareas diarias debido a un severo dolor en la pierna izquierda que repercutía directamente desde la Raiz L5.

Este paciente, al que se le realizó una operación anteriormente, presenta uan fijación en la quinta vertebral lumbar que le produce una nueva hernia discal.

Este paciente acude a las consultas médicas por un severo dolor en las piernasn que le produce fuertes calambres en los gemelos y dolor al caminar.

Caso de extrema dificultad en el que podemos ver a un paciente con dolor crónico cervical, parentesias MMSS y hormigueo en los miembros superiores.

so clínico de un paciente operado previamente mediante cirugía abierta y los resultados de una nueva operación con su técnica ultraminimamente invasiva.

Caso clínico de un paciente que acude con mucho dolor en las piernas, impotencia funcional e incapacidad para la bipedestación prolongada.

El Dr. Elgeadi nos cuenta el caso clínico de un paciente que acude con mucho dolor y es diagnosticado de estenosis de canal y operado en Madrid.

Paciente con intenso dolor de una semana de evolución tras caída que no mejora con tratamiento medico ni RH. Se decide realizar una Cifoplastia.

Varón 36 años. Sufre traumatismo directo en pierna derecha con mecanismo de hiperextensión durante la disputa de un balón jugando al fútbol.

Varón de 58 años que acude a consulta con severa limitación funcional para la deambulación con inclinación y flexión postural dorsolumbar.

Nos encontramos ante un paciente con dolor agudo que presenta tres hernias discales cervicales. Su situación no mejoraba con medicación ni tratamiento.

Nos encontramos ante un paciente varón de 58 años de edad con antecedentes personales de psoriasis. Sufrió caída desde una altura de 1,5 metros.
¿Quieres recibir más información?
Obtén un diagnóstico profesional
© Copyright Instituto Cirugía de Columna Vertebral | Política de Privacidad | Política cookies | Aviso legal
Página web desarrollada por EasyMode Marketing
Especialistas
Patologías
Sobre ICAC
Compromiso
Contacto