Prótesis cervical Móvil - | ICAC

Caso clínico

Prótesis cervical Móvil

El paciente, varón de 53 años, acude a consulta por intenso dolor en la columna cervical con braquialgia positiva (dolor) y parestesias (calambres) en el brazo derecho. Esta situación no mejora ni con medicación ni con tratamiento rehabilitador. En la rotación de cabeza y cuello el paciente también experimenta dolor.

Preoperatorio

El resultado de la exploración objetiva refleja inflamación del tendón supraespinoso con anomalía en la rotación y lesión parcial de labrum. Por otro lado, la resonancia de columna cervical nos muestra tres hernias discales cervicales y cambios degenerativos en los niveles C4-C5, C5-C6 Y C6-C7.

cirugia-de-columna-mínimamente-invasiva-en-madrid
hernia-discal-cervical-540x339

Operación

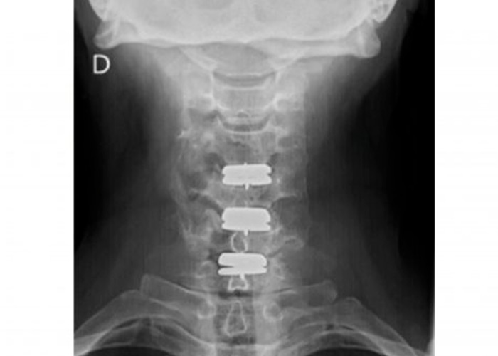
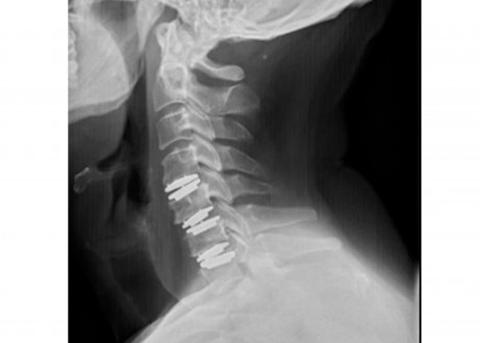
Tras haber probado todo tipo de tratamientos medico-rehabilitadores, el equipo de ICAC decide una intervención mediante técnica mínimamente invasiva y reconstrucción de los tres discos cervicales con prótesis móvil. La operación es un éxito y los resultados son notables inmediatamente.

protesis-cervical-movil-instituto-cac

Postoperatorio

En menos de 5 horas el paciente se recupera de la operación. Asimismo, la movilización del cuello comienza desde el primer momento y no se precisa collarín ni otros inmovilizadores.

Por último, el paciente recibe el alta hospitalaria al día siguiente de la operación.

es_ES