Fractura de meseta tibial | ICAC

Caso clínico

Fractura de meseta tibial

Varón 36 años sin antecedentes de interés. Sufre traumatismo directo en pierna derecha con mecanismo de hiperextensión durante la disputa de un balón jugando al fútbol. Cursa con derrame articular en la rodilla con impotencia para el apoyo e intenso dolor.

Preoperatorio

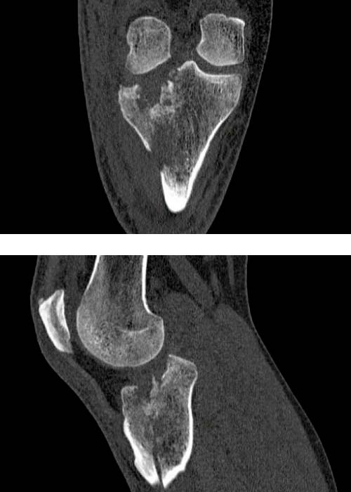
Se realiza estudio con pruebas complementarias (radiografías y TAC):

Radiografía anteropostesior y lateral de rodilla derecha en la que se observa una fractura de meseta tibial con apertura y separación longitudinal anterolateral con trazos fracturarios diafisarios.

En TAC se objetiva una fractura conminuta de la meseta tibial con hundimiento del platillo tibial anterolateral con líneas de fractura diafisarias anteriores, mediales y posteriores.

Diagnosticado de fractura meseta tibial según la clasificación de Schatzker, tipo II (combinación de hundimiento y separación) y tipo VI con disociación de la metáfisis y la diáfisis.

fractura-meseta-tibial-operatorio
fractura-de-la-meseta-tibial

Operación

Es intervenido quirúrgicamente a las 48 horas realizándose abordaje anterolateral de tibia proximal, reducción y fijación interna con placa lateral de tornillos bloqueados y no bloqueados de 4,5 mm.

postoperatorio-fractura-meseta-tibial

Postoperatorio

Evoluciona satisfactoriamente durante el postoperatorio con control analgésico mediante bomba de perfusión contínua.

Movilización progresiva mediante ortesis de rodilla articulada.

es_ES