Cirugía avanzada de columna. Caso de éxito

Caso clínico

Cirugía avanzada de columna. Caso de éxito

El paciente que os presentamos hoy acudió a nosotros aquejando un severo dolor en los miembros inferiores que, como a muchos de los pacientes que confían en nosotros día a día, le impide realizar su vida diaria e incluso caminar con normalidad.

Preoperatorio

A este paciente le resulta imposible andar apenas 15 metros sin tener que pararse debido a una claudicación neurógena.

Además de sufrir fuertes dolores durante la marcha, le es bastante complicado y dolorosamente traumático permanecer de pié durante un tiempo prolongado. Por todo ello le es imposible realizar una vida diaria normal.

Tras las pruebas pertinentes y el exhaustivo estudio de su caso se le indica la necesidad de una cirugía de columna con nuestro método personal de Endoscopia Avanzada de Columna mínimamente invasiva para que recupere su vida y pueda olvidarse del dolor.

estenosis de canal radiografia
Cirugia de columna para estenosis de canal

Operación

Tras la sedación, se le realiza al paciente un abordaje interlaminar posterior a través de una pequeña incisión, de apenas 3mm, en la piel mediante la que se accederá al área dónde se ubica la lesión.

Se realiza la apertura del ligamento amarillo de forma bilateral y se retira la parte hipertrofiada que comprime y cierra el canal, provocando al paciente una severa estenosis y el dolor que le impide caminar y mantenerse en pie.

Se procede a realizar una hemilaminectomía hasta comprobar la adecuada liberación de las estructuras neurológicas que recorren el canal vertebral.

Una vez comprobado que el canal tiene el espacio suficiente y que todas las partes atrofiadas han sido retiradas, se procede a retirar parte del TIP de la faceta ascendente para evitar la compresión de las estructuras neurológicas de nuevo.

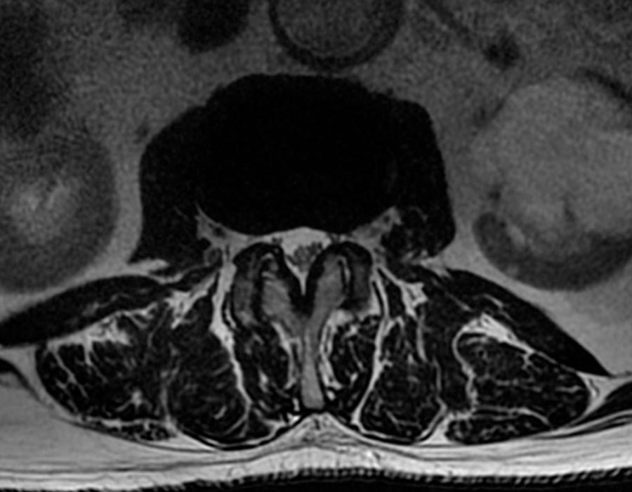
Vision transversal columna vertebral operacion

Postoperatorio

Tras dos horas de cirugía, que transcurre sin ninguna complicación, el postoperatorio transcurre sin incidencias y el paciente comienza pronto a caminar de forma normal y sin notar dolor.

Él mismo comunica la desaparición del dolor que sufría en ambas piernas de forma progresiva, lo que le permite permanecer de pié y caminar como lo habría hecho antes del proceso compresivo. El paciente puede volver a su vida normal de forma progresiva, abandonando el hospital con un tratamiento recetado de medicación suave que tomará de forma oral.

es_ES