Cifoplastia en Madrid. Paciente con fractura lumbar L1 | ICAC

Caso clínico

Cifoplastia en Madrid. Paciente con fractura lumbar L1

Paciente con intenso dolor de una semana de evolución tras caída que no mejora con tratamiento medico ni RH. Se decide realizar una Cifoplastia.

Preoperatorio

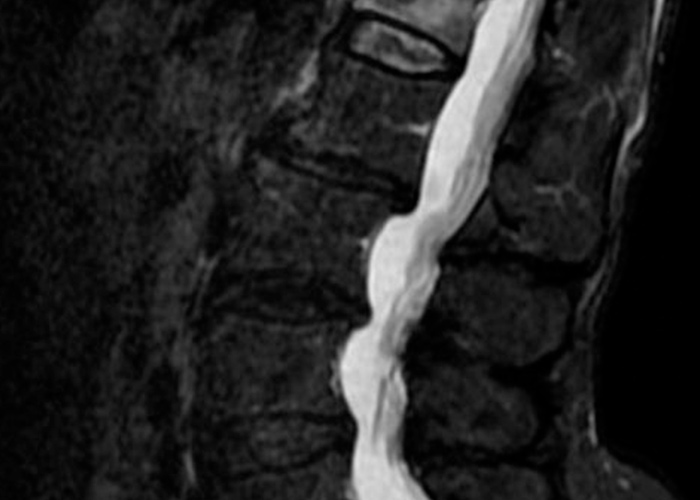
Una vez realizadas las pruebas de imagen, estas muestran una fractura acuñamiento de la 1º vértebra lumbar L1 sin que se vea afectado el muro posterior y con signos de edema agudo. Se decide realizar una cifoplastia.

cifoplastia-en-madrid
especialistas-en-cifoplastia-madrid

Operación

La cifoplastia consiste es un tratamiento quirúrgico con una técnica ultramínimamente invasiva, donde se procede a la reexpansión de la vértebra y su posterior cementación para restaurar la altura de la misma así como fortalecerla.

El paciente en posición de decúbito prono (tumbado boca abajo) y bajo anestesia local con un poco de sedación, se le reexpande el cuerpo vertebral restaurando la altura original de la vértebra y posteriormente mediante un cemento ortopédico se procede a estabilizar el cuerpo.

Las heridas son mínimas (un aproximado de 2 mililitros) que posteriormente se suturan con puntos que no precisan ser retirados.

postoperatorio-cifoplastia-madrid

Postoperatorio

Con esta técnica la recuperación es prácticamente inmediata.

El dolor desaparece inmediatamente.

El riesgo quirúrgico en manos expertas es mínimo y los resultados duraderos.

La cifoplastia es una técnica que da muy buenos resultados, pero muy compleja y que requiere de médicos traumatólogos especialistas en columna para su ejecuccción.

Si buscas un traumatólogo especialista en espalda en Madrid, contacta con nuestro equipo. Podemos ayudar a mejorar tu calidad de vida.

es_ES